Introduction
The heart and coronary arteries are surrounded by layers of adipose tissue, which are divided into various compartments. Epicardial adipose tissue (EAT) is the layer of adipose tissue lying between the myocardium and visceral pericardium. It surrounds and lies in close approximation to the coronary arteries. Pericardial adipose tissue (PAT) lies between the parietal and visceral layers of the pericardium and on the external surface of the parietal pericardium [1]. EAT develops from the splanchnopleuric mesoderm and is supplied by the coronary arteries. The PAT originates from the primitive thoracic mesenchyme and has non-coronary blood supply from the internal mammary artery [2]. An excess of epicardial fat exerts a proatherogenic effect on the coronary arteries due to the release of various inflammatory cytokines, which leads to coronary artery disease (CAD) [3].
The EAT and PAT volumes can be quantified non-invasively by echocardiography (ECHO), magnetic resonance imaging (MRI), and multidetector computed tomography (MDCT). Quantification of the adipose tissue using MDCT is considered as a standard technique due to its volume acquisition [4,5]. Although there are studies that established correlations between EAT and severity of CAD, there are also some that did not find any association between them [6,7]. Hence we sought to find an association between EAT and PAT volume and severity of CAD as assessed by CAD-RADS [8]. In this retrospective study, cardiac images from MDCT were used to quantify the volume of EAT and PAT and to study its relationship with CAD, hypertension (HT), and diabetes mellitus (DM). Also, we sought to establish threshold values of EAT and PAT for predicting the early onset of CAD.
Material and methods
This is a retrospective study of patients who underwent a CT coronary angiogram (CTCA) with low to intermediate risk, at our institute. Common clinical symptoms for referral for CTCA included chest pain, chest tightness, epigastric pain or burning sensation, and pain radiating to jaw/shoulder. Abnormal electrocardiogram (ECG) and stress tests were also reasons for referral for CTCA. Patients’ demographic data including history of DM, HT, and biochemical parameters such as total cholesterol, high-density lipoprotein (HDL), low-density lipoprotein (LDL), serum triglyceride levels, and HbA1c values were obtained from the hospital information system (HIS). Patients with coronary artery stenting and coronary artery bypass grafting and those with suboptimal imaging due to motion artefacts were excluded from the study. This study was approved by the institutional review board, and patient consent was waived due to its retrospective nature.
Image acquisition
Before scanning, all patients were given oral premedication with ivabradine to achieve a target heart rate (HR) below 60 beats per minute (bpm). Intravenous meto-prolol up to a maximum of 20 mg was administered intravenously in those who did not achieve the target heart rate after oral ivabradine. Most patients underwent prospective ECG-gated CT coronary angiography. In patients with irregular cardiac rhythm or HR greater than 70 bpm even after oral and intravenous medication, a retrospective ECG-gated CT coronary angiogram was performed.
All CTCA scans were acquired using a 128-slice GE Discovery CT750 HD CT scanner (Milwaukee, USA). A non-contrast scan for coronary calcium scoring was performed prior to the CTCA. The CTCA was performed using a bolus-triggering technique after administration of 80-100 ml of non-ionic iodinated contrast media (Omni-paque [Iohexol] 350 mg/ml). It was injected using a dual-head pressure injector at a flow rate of 5-6 ml/s through an 18-20 G intravenous cannula followed by a saline flush. CT images acquired at 0.625 mm, were reconstructed at various phases of the cardiac cycle using soft tissue kernel settings.
Image analysis
The post-processing involved curved multiplanar reformation, maximum intensity projection, and volume rendering using a GE AW server workstation. The coronary calcium score was obtained using the Agatston scoring system. The severity of CAD was graded using the CAD-RADS score. CAD-RADS scores of more than 3 (> 50% stenosis) were considered as significant CAD, while scores of less than 3 were regarded as an insignificant disease.
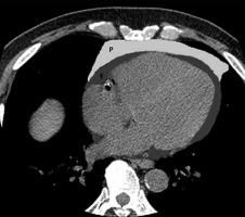
Both EAT and PAT volumes from CT images were quantified using Image J software [9]. All CT slices along the entire cardiac region, which included EAT and PAT, were manually segmented after setting a threshold of –200 to –30 Hounsfield units (HU) using the threshold plugin. A wand tracing tool was used to highlight the EAT and PAT, as shown in Figure 1. Finally, the measure tool was used to obtain the area of each adipose tissue. The final volume was calculated from the sum of the areas of all slices multiplied by the slice thickness and spacing between slices.
Statistical analysis
Continuous and categorical variables were presented using descriptive statistics. The independent t-test was used for comparison of continuous variables between groups, and one-way analysis of variance (ANOVA) was used to compare the continuous variables between the CAD-RADS categories of different coronary arteries. Pearson’s and Spearman’s correlation tests were used to find the correlation between the variables. Receiver operating characte-ristic curve (ROC) analysis was performed to determine the threshold values of EAT and PAT volumes for this population, to predict the CAD. The level of significance was set at a p-value of less than 0.05. Statistical analysis was performed using Statistical Package for Social Sciences (SPSS) software, version 16.0 for Windows (SPSS, Chicago, IL).
Results
Demographic characteristics
Fifty-four patients were included in our study, with a mean age of 55 years (range: 37 to 84 years). There were 26 males and 28 females. The mean with standard deviation (SD) and median with interquartile range (IQR) values of age, EAT and PAT, and lipid and glycaemic biomarkers of the entire cohort are shown in Table 1. The lipid profiles of 3 patients and HbA1c values of 8 patients were not available. Calcium scoring was not done in 2 patients. Twenty-seven out of 54 patients (50%) had DM, 29 out of 54 patients (53%) were hypertensive, and 19 out of 54 patients (35%) had dyslipidaemia. The mean calcium score of the cohort was 179.
Table 1
Descriptive statistics of clinical and lab parameters, and history of diabetes mellitus (DM) and hypertension (HT)
Computed tomography coronary angiogram characteristics
On CTCA, 29 patients (54%) had no CAD (CAD-RADS score 0), 21 patients (39%) had significant CAD (CAD-RADS score greater than or equal to 3), and 4 patients (7%) had insignificant CAD (CAD-RADS score less than 3). Fourteen out of 21 patients (67%) had significant CAD with multiple coronary artery involvement. The left anterior descending artery and right coronary artery were more commonly diseased than the left circumflex artery.
Relation of epicardial adipose tissue and pericardial adipose tissue volume with coronary artery disease
Subjects were grouped into those with and those without CAD, and as those with and those without significant CAD. Comparison of lipid and glycaemic markers, and EAT and PAT volumes between subjects of different groups of CAD are illustrated in Table 2. There was no significant difference in the EAT and PAT volumes and the level of lipid and glycaemic biomarkers in patients with or without CAD. The same was observed between the significant-CAD-present and significant-CAD-absent groups. However, age and calcium scores showed a significant difference between these groups.
Table 2
Comparison of lipid and glycaemic markers, and epicardial and pericardial adipose tissue volume between subjects of different categories of coronary artery disease (CAD)
The mean (SD) values of EAT and PAT volumes were found to be higher in patients with hypertension than in those without hypertension [EAT (HT present vs. absent): 90.2 (36.9) vs. 74.4 (31.1), p = 0.317; PAT (HT present vs. absent): 47.5 (23.9) vs. 36.4 (27.6), p = 0.945]; however, the differences in values were not statistically significant. Similarly, the mean (SD) values of EAT volume were found to be higher in patients with DM than in those without DM; however, this was not statistically significant [DM present vs. absent: 88.14 (34.5) vs. 74.96 (33.0); p = 0.908]. However, there was a statistically significant difference in the mean PAT volume between those with and those without diabetes [DM present vs. absent: 48.6 (31.5) vs. 35.6 (17.8); p = 0.010].
The correlation between EAT and PAT volumes with lipid and glycaemic biomarkers, and calcium score was assessed using Pearson’s correlation test, as shown in Table 3. The EAT volume showed statistically significant but weak negative correlation with serum total cholesterol (r = –0.325, p = 0.017) and serum LDL (r = –0.366, p = 0.007) and a weak positive correlation with the calcium score (r = 0.293, p = 0.035). Spearman’s correlation between CAD-RADS categories of individual coronary arteries with EAT and PAT volume was also performed. There was a statistically significant weak positive correlation noted between the CAD-RADS categories of the right coronary artery (RCA) with PAT volume (r = 0.294, p = 0.03).
Table 3
Pearson correlation of epicardial adipose tissue (EAT) and pericar-dial adipose tissue (PAT) volume with lipid and glycaemic biomarkers, and calcium score
Statistically significant association was found between patients with HT and significant CAD (p = 0.028). However, no significant association was found between DM and significant CAD (p = 0.782). One-way analysis of variance (ANOVA) was used to compare the EAT and PAT volu-mes between different CAD-RADS categories. RCA alone showed a statistically significant difference in the EAT volu-me between the different CAD-RADS categories (p = 0.04); however, post hoc analysis could not be performed because some of the categories had less than 5 counts.
Determining the threshold values of epicardial adipose tissue and pericardial adipose tissue volume for predicting coronary artery disease
The ROC curve analysis was performed to determine the threshold values of EAT and PAT volume to predict significant CAD in the overall coronary artery system and in individual coronary arteries. The threshold values of EAT and PAT volumes with the area under the curve (AUC), sensitivity, specificity, positive and negative predictive values, and p values for significant CAD in the whole coronary artery system and significant CAD in individual coronary arteries are shown in Table 4. Threshold values for EAT and PAT volumes of 84.1 cc and 40.8 cc were able to predict significant CAD in RCA with a sensitivity of 75% (AUC for EAT: 0.692, p = 0.044; AUC for PAT: 0.699, p = 0.037). The EAT and PAT volumes with the highest sensitivity to predict significant CAD for individual coronary arteries were as follows:
left main coronary artery: EAT = 89.46 cc (sensitivity 80%), PAT = 26.6 cc (sensitivity 80%);
left anterior descending artery: EAT = 23.9 cc (sensiti-vity 97%), PAT = 6.94 (sensitivity 97%);
left circumflex artery: EAT = 23.9 cc (sensitivity 87.5%), PAT = 24.5 cc (sensitivity 87.5%);
right coronary artery: EAT = 58.7 cc (sensitivity 92%), PAT = 19.7 cc (sensitivity 92%).
Table 4
ROC analysis to determine the threshold of epicardial adipose tissue (EAT) and pericar-dial adipose tissue (PAT) to predict coronary artery disease in coronary arteries with area under the curve (AUC), sensitivity, specificity, positive predictive value (PPV), negative predictive value (NPV), and p-values
Discussion
The EAT covers 80% of the cardiac surface and accounts for 20% of the heart’s total weight [10]. The EAT acts as an endocrine gland by releasing anti-inflammatory and pro-inflammatory cytokines [11,12], and it interacts with the coronary vessel wall and the myocardium via vasocrine and paracrine mechanisms [13,14]. Although the potential role of EAT in the development of atherosclerosis in coronary arteries has been shown in previous studies [15-17], we have evaluated the relation of both EAT and PAT volume with CAD-RADS categories and CAD risk factors, and tried to assess the threshold value of EAT and PAT volume that can best predict CAD. The novelty of our study is that we have evaluated the threshold values of EAT and PAT volume, which can predict significant CAD in individual coronary arteries.
In our study, the EAT volume had a positive correlation with coronary calcium score. In contrast, Aslanabadi et al. found a positive linear relationship between PAT volume and coronary calcium score [18]. Mahabadi et al. found that even though the coronary calcium score increased with EAT volume, this effect did not hold when adjusting for traditional cardiovascular risk factors, indicating that the association between calcium score and EAT is ultimately explained by shared risk factors [19]. Our study showed a weak negative correlation between EAT and serum LDL and total cholesterol. There was a significant correlation between mean age and coronary calcium score between the CAD-present/-absent groups and significant CAD-present/-absent groups, similarly to the study done by Khurana et al. [20].
Even though the EAT and PAT volumes were higher in the CAD-present and significant-CAD-present groups, these were statistically not significant. Multiple previous studies have found an association between EAT and the presence and severity of coronary artery disease using EAT thickness measured on echocardiogram [21-23] or using MDCT as EAT volume [18-20,24,25]. However, some studies have failed to find a positive correlation between EAT and CAD. A study conducted by Tanami et al. in 380 patients found no association of EAT with the presence and severity of CAD [6]. Similarly, Gorter et al. found no overall association between EAT and pericoronary adipose tissue with the severity of coronary atherosclerosis and the extent of coronary artery calcification in a study with a sample size of 128 patients. However, they found that patients with low body mass index and multivessel CAD had higher EAT and PAT than those without CAD [7].
In the study by Khurana et al., performed in a similar population, the mean values of EAT volume were lower compared to our research. The mean EAT in the CAD group and significant CAD group in their study were 75.3 and 82.8 cc, respectively, compared to 87.5 and 91.66 cc in our study. However, the threshold value of EAT for predicting significant CAD was comparable with the study carried out by Khurana et al. [20]. Although the area under the curve was promising for the presence of CAD in individual coronary arteries as well as in the entire coronary artery system, it was statistically significant only in RCA. A larger sample size might have allowed better statistical significance in the other coronary arteries. We have determined the threshold values of EAT and PAT volume, which can predict the significant CAD in individual coronary arteries. The least EAT and PAT volumes corresponding to the highest sensitivity in detecting CAD is seen in LAD. This shows that even with the lower threshold value of EAT and PAT, it is possible to have CAD in the LAD artery.
The retrospective nature of the study limits the non-availability of specific lab parameters in some of the patients. A smaller sample size may not have brought out the statistically significant correlation or difference in certain results. The results from this study need to be validated in a multicentre, prospective study of a larger cohort.
Conclusions
In our study, the EAT and PAT volumes, and glycaemic and lipid markers were higher in patients in the CAD and significant-CAD groups compared to those without CAD and without significant CAD, respectively, but not statistically significantly. EAT and PAT showed significant correlation with coronary calcium score and total cholesterol level. Patients with DM had significantly higher PAT volume compared to those without DM. The EAT volume was significantly different between the various CAD-RADS categories of the right coronary artery. It is found that even with lower EAT and PAT volumes, it is possible to have CAD in the left anterior descending artery.

