UROGENITAL RADIOLOGY / ORIGINAL PAPER
Secondary signs combined with renal pelvis urine density on preoperative CT as a predictor of infection following ureteroscopic lithotripsy with chronic kidney disease
More details
Hide details
1
Department of Urology, The Second Affiliated Hospital of Hainan Medical University, Haikou, Hainan, China
2
Department of Urology, Hainan Provincial People's Hospital, Haikou, Hainan, China
3
Department of Urology, The First Affiliated Hospital of Guangxi Medical University, Nanning, Guangxi, China
These authors had equal contribution to this work
Submission date: 2025-12-12
Acceptance date: 2026-02-03
Publication date: 2026-03-25
Corresponding author
Chengyang Li
Department of Urology, The First Affiliated Hospital of Guangxi Medical University, No. 6 Shuangyong St., qingxiu District, postcode: 530021, Nanning, Guangxi, China
Pol J Radiol, 2026; 91(1): 154-162
KEYWORDS
TOPICS
ABSTRACT
Purpose:
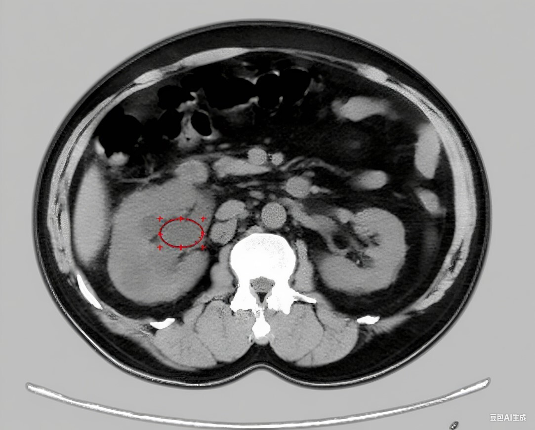
Retrospective studies have explored the association between computed tomography (CT)-derived secondary signs and renal pelvic urine density (RPUD) with postoperative infection after ureteroscopic lithotripsy (URSL). This study evaluated the prognostic value of these indicators in chronic kidney disease (CKD) patients.
Material and methods:
Clinical data of patients undergoing URSL for ureteral calculi at two tertiary hospitals from June 2015 to June 2025 were retrospectively collected. Patients were categorized into infection and non-infection groups. Baseline demographics, stone characteristics, RPUD, perinephric fat stranding (PFS), tissue rim sign (TRS), CKD history, and intraoperative variables were compared. Independent predictors were identified via multivariate logistic regression, and a nomogram was constructed.
Results:
Postoperative infection occurred in 102 patients (12.6%). The infection group had significantly higher rates of positive preoperative urine culture, diabetes, larger stone diameter, longer operation time, advanced CKD stage, elevated RPUD, and increased incidence of PFS and TRS (all p < 0.05). Multivariate analysis confirmed these variables as independent risk factors. The nomogram demonstrated strong discrimination (C-index = 0.932).
Conclusions:
Elevated RPUD combined with positive CT secondary signs (PFS and TRS) is significantly associated with postoperative infection risk in CKD patients undergoing URSL. These easily obtainable non-contrast computed tomography-derived markers offer a novel and practical approach for preoperative risk stratification, enabling individualized preventive strategies and surgical optimization in this high-risk population.
REFERENCES (24)
1.
Yoshitaka I, Makito M, Takuya O, Takashi I, Daisuke G, Hitoshi M, et al. Optimal timing of ureteroscopic lithotripsy after the initial drainage treatment and risk factors for postoperative febrile urinary tract infection in patients with obstructive pyelonephritis: a retrospective study. BMC Urol 2021; 21: 10. DOI: 10.1186/s12894-020-00754-8.
2.
De La Rosette J, Denstedt J, Geavlete P, Keeley F, Matsuda T, Pearle M, et al. The clinical research office of the endourological society ureteroscopy global study: indications, complications, and outcomes in 11,885 patients. J Endourol 2014; 28: 131-139.
3.
Wagenlehner FM, Pilatz A, Weidner W. Urosepsis – from the view of the urologist. Int J Antimicrob Agents 2011; 38 Suppl: 51-57. DOI: 10.1016/j.ijantimicag.2011.09.007.
4.
Brun-Buisson C. The epidemiology of the systemic inflammatory response. Intensive Care Med 2000; 26 Suppl 1: S64-S74. DOI: 10.1007/s001340051121.
5.
Basmaci I, Sefik E. A novel use of attenuation value (Hounsfield unit) in non-contrast CT: diagnosis of pyonephrosis in obstructed systems. Int Urol Nephrol 2020; 52: 9-14.
6.
Laih CY, Hsiao PJ, Hsieh PF, Wang YD, Lai CM, Yang CT, et al. QSOFA and SOFA scores are valuable tools for predicting postoperative sepsis resulting from ureteroscopic lithotripsy (URSL). Medicine (Baltimore) 2022; 101: e31765. DOI: 10.1097/MD.0000000000031765.
7.
Kim JW, Lee YJ, Ha YS, Lee JN, Kim HT, Chun SY, et al. Secondary signs on preoperative CT as predictive factors for febrile urinary tract infection after ureteroscopic lithotripsy. BMC Urol 2020; 20: 131. DOI: 10.1186/s12894-020-00701-7.
8.
Liu D, Liu J, Li Z, Ge C, Guo H, Song S, et al. The association between renal pelvis urine density and the risk of severe infectious complications in patient with symptom-free hydronephrosis after shock wave lithotripsy: a multi-center prospective study. Urolithiasis 2024; 52: 72. DOI: 10.1007/s00240-024-01572-5.
9.
Çakıcı MA, Kazan Z, Pliki A, Iek M, Efilolu Z, Yldrm A, et al. Risk factors predicting urinary tract infection following semirigid ureteroscopic lithotripsy. J Tepecik Educ Res Hosp 2020; 30: 294-301.
10.
Yuruk E, Tuken M, Sulejman S, Colakerol A, Serefoglu EC, Sarica K, et al. Computerized tomography attenuation values can be used to differentiate hydronephrosis from pyonephrosis. World J Urol 2017; 35: 437-442.
11.
Caglar U, Dizdaroglu C, Yusuf R, Aksu UC, Ayranci A, Sarilar O, et al. Association between renal pelvis urine density and the risk of infectious complications after retrograde intrarenal surgery. J Endourol 2025; 39: 231-236.
12.
Chou YH, Chou WP, Liu ME, Li WM, Li CC, Liu CC, et al. Comparison of secondary signs as shown by unenhanced helical computed tomography in patients with uric acid or calcium ureteral stones. Kaohsiung J Med Sci 2012; 28: 322-326.
13.
Yuruk E, Binbay M, Ozgor F, Sekerel L, Berberoglu Y, Muslumanoglu AY. Comparison of shockwave lithotripsy and flexible ureteroscopy for the treatment of kidney stones in patients with a solitary kidney. J Endourol 2015; 29: 463-467.
14.
KDIGO 2012 Clinical Practice Guideline for the Evaluation and Management of Chronic Kidney Disease. Kidney Int Suppl 2013; 3. Available at:
https://kdigo.org/wp-content/u....
15.
Gong Z, Li Y, Zhang H, Pan C, Li J, Liu G, et al. Prospective comparison of extracorporeal shock wave lithotripsy and ureteroscopy in distal ureteral stones. Urolithiasis 2023; 51: 86. DOI: 10.1007/s00240-023-01460-4.
16.
Yin X, Li J, Pan C, Liu G, Li Z, Bai S. Development and validation of a predictive model for stone-free failure after extracorporeal shockwave lithotripsy in patients with ureteral stone in a large prospective cohort. World J Urol 2023; 41: 1431-1436.
17.
Bone RC, Balk RA, Cerra FB, Dellinger RP, Fein AM, Knaus WA, et al. Definitions for sepsis and organ failure and guidelines for the use of innovative therapies in sepsis. The ACCP/SCCM Consensus Conference Committee. American College of Chest Physicians/Society of Critical Care Medicine. Chest 1992; 101: 1644-1655.
18.
Corrales M, Traxer O. Can SFR (Stone Free Rate) be used as a preventive method for recurrence? Medical management of residual fragments. Arch Esp Urol 2021; 74: 94-101.
19.
Gambaro G, Croppi E, Bushinsky D, Jaeger P, Cupisti A, Ticinesi A, et al. The risk of chronic kidney disease associated with urolithiasis and its urological treatments: a review. J Urol 2017; 198: 268-273.
20.
Doluoglu OG, Kilinc MF, Karakan T, Yuceturk CN, Ener K, Resorlu B. Early postoperative effects of ureterorenoscopy on morbidity and renal functions in ureteral stone patients with nondialysis-requiring renal insufficiency. Ren Fail 2015; 37: 810-813.
21.
Erdogan A, Sambel M, Caglayan V, Avci S. Importance of the hounsfield unit value measured by computed tomography in the differentiation of hydronephrosis and pyonephrosis. Cureus 2020; 12: e11675. DOI: 10.7759/cureus.11675.
22.
Kehinde EO, Rotimi VO, Al-Hunayan A, Abdul-Halim H, Boland F, Al-Awadi KA. Bacteriology of urinary tract infection associated with indwelling J ureteral stents. J Endourol 2004; 18: 891-896.
23.
Korets R, Graversen JA, Kates M, Mues AC, Gupta M. Post-percutaneous nephrolithotomy systemic inflammatory response: a prospective analysis of preoperative urine, renal pelvic urine and stone cultures. J Urol 2011; 186: 1899-1903.
24.
Scotland KB, Lange D. Prevention and management of urosepsis triggered by ureteroscopy. Res Rep Urol 2018; 10: 43-49.