UROGENITAL RADIOLOGY / ORIGINAL PAPER
Differentiation of cervical cancer subtypes using machine learning models on MRI images
More details
Hide details
1
Department of Radiology, Karabük Training and Research Hospital, Karabuk, Turkey
2
Computer Engineering Department, College of Engineering, Koc University, Istanbul, Turkey
3
Department of Gynecologic Oncology, Ankara Bilkent City Hospital, Ankara, Turkey
4
Department of Radiology, Ankara Bilkent City Hospital, Ankara, Turkey
Submission date: 2025-10-07
Final revision date: 2025-12-10
Acceptance date: 2025-12-27
Publication date: 2026-04-22
Corresponding author
Asiye Sozeri
Department of Radiology, Karabuk Training and Research Hospital, 1 Alpaslan St., 78200 Karabuk, Turkey
Pol J Radiol, 2026; 91(1): 195-204
KEYWORDS
TOPICS
ABSTRACT
Purpose:
To develop and compare various radiomics-based machine learning (ML) models for distinguishing cervical squamous cell carcinoma (SCC) from non-SCC histopathological subtypes, using multiparametric magnetic resonance imaging (MRI) and clinical data.
Material and methods:
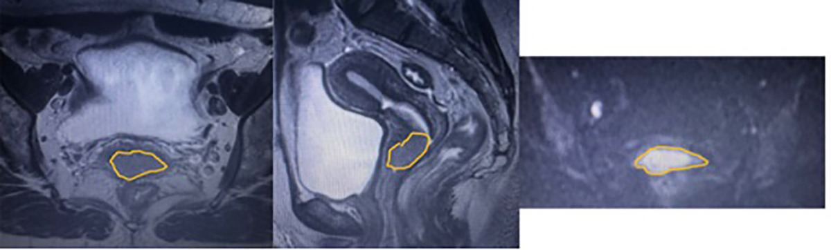
This retrospective study included 88 women (mean age, 51.1 ±13.0 years; range, 25-83 years) with histopathologically confirmed cervical cancer (47 SCC, 41 non-SCC). For each patient, axial and sagittal T2-weighted imaging (T2WI) and diffusion-weighted imaging (DWI) were available, along with clinical metadata. Radiomic features (shape, first-order, and texture features including gray-level co-occurrence matrix, gray-level run length matrix, and gray-level size zone matrix) were extracted from each sequence, yielding 945 features per patient. A feature set was created by combining features from all three sequences. The least absolute shrinkage and selection operator (LASSO) method was used for feature selection. Three supervised classifiers – random forest (RF), support vector machine (SVM), and logistic regression (LR) – were trained to classify SCC versus non-SCC.
Results:
Among the single-sequence models, the sagittal T2WI sequence demonstrated the strongest performance, achieving receiver operating characteristic (ROC) area under the curve (AUC) values of 0.839 with SVM and 0.732 with LR. In contrast, the axial T2WI RF model showed poor discriminative ability (ROC-AUC: 0.464), indicating that this sequence alone provides limited value for subtype differentiation despite showing acceptable accuracy metrics. The combined multi-sequence model yielded the highest overall performance. Using LASSO-selected features, RF achieved the best ROC-AUC (0.958), followed closely by SVM (0.953) and LR (0.951), with all models attaining accuracies above 0.91.
Conclusions:
Feature-level integration of axial T2WI, sagittal T2WI, and DWI substantially enhances ML performance in differentiating SCC from non-SCC cervical cancer subtypes. Compared with single-sequence models, the combined multi-sequence approach provides more robust and well-balanced classification, underscoring the complementary value of multiparametric MRI for histopathological subtype prediction.
REFERENCES (35)
1.
Sung H, Ferlay J, Siegel RL, Laversanne M, Soerjomataram I, Jemal A, Bray F. Global cancer statistics 2020: GLOBOCAN estimates of incidence and mortality worldwide for 36 cancers in 185 countries. CA Cancer J Clin 2021; 71: 209-249.
2.
Bodurtha Smith AJ, Beavis AL, Rositch AF, Levinson K. Disparities in diagnosis and treatment of cervical adenocarcinoma compared with squamous cell carcinoma: an analysis of the National Cancer Database, 2004-2017. J Low Genit Tract Dis 2023; 27: 29-34.
3.
Wu SY, Huang EY, Lin H. Optimal treatments for cervical adenocarcinoma. Am J Cancer Res 2019; 9: 1224-1234.
4.
Rajaram S, Gupta B. Screening for cervical cancer: choices & dilemmas. Indian J Med Res 2021; 154: 210-220.
5.
Winfield JM, Orton MR, Collins DJ, Ind TEJ, Attygalle A, Hazell S, et al. Separation of type and grade in cervical tumours using non-mono-exponential models of diffusion-weighted MRI. Eur Radiol 2017; 27: 627-636.
6.
Haldorsen IS, Lura N, Blaakær J, Fischerova D, Werner HMJ. What is the role of imaging at primary diagnostic work-up in uterine cervical cancer? Curr Oncol Rep 2019; 21: 77. DOI: 10.1007/s11912-019-0824-0.
7.
Bhatla N, Berek JS, Cuello Fredes M, Denny LA, Grenman S, Karunaratne K, et al. Revised FIGO staging for carcinoma of the cervix uteri. Int J Gynaecol Obstet 2019; 145: 129-135.
8.
McCague C, Ramlee S, Reinius M, Selby I, Hulse D, Piyatissa P, et al. Introduction to radiomics for a clinical audience. Clin Radiol 2023; 78: 83-98.
9.
Liu H, Lao M, Zhang Y, Chang C, Yin Y, Wang R. Radiomics-based machine learning models for differentiating pathological subtypes in cervical cancer: a multicenter study. Front Oncol 2024; 14: 1346336. DOI: 10.3389/fonc.2024.1346336.
10.
Sun J, Wu G, Shan F, Meng Z. The value of IVIM DWI in combination with conventional MRI in identifying the residual tumor after cone biopsy for early cervical carcinoma. Acad Radiol 2019; 26: 1040-1047.
11.
Yoon A, Park JJ, Park BK, Lee YY, Paik ES, Choi CH, et al. Long-term outcomes of MRI stage IIB cervical cancer. Int J Gynecol Cancer 2016; 26: 1252-1257.
12.
Tibshirani R. Regression shrinkage and selection via the lasso: a retrospective. J R Stat Soc Ser B Stat Methodol 2011; 73: 273-282.
13.
Gökmen Inan N, Kocadağlı O, Yıldırım D, Meşe İ, Kovan Ö. Multi- class classification of thyroid nodules from automatic segmented ultrasound images: Hybrid ResNet based UNet convolutional neural network approach. Comput Methods Programs Biomed 2024; 243: 107921. DOI: 10.1016/j.cmpb.2023.107921.
14.
Gala FB, Gala KB, Gala BM. Magnetic resonance imaging of uterine cervix: a pictorial essay. Indian J Radiol Imaging 2021; 31: 454-467.
15.
Baliyan V, Das CJ, Sharma R, Gupta AK. Diffusion weighted imaging: technique and applications. World J Radiol 2016; 8: 785-798.
16.
Manganaro L, Lakhman Y, Bharwani N, Gui B, Gigli S, Vinci V, et al. Staging, recurrence and follow-up of uterine cervical cancer using MRI: updated guidelines of the European Society of Urogenital Radiology after revised FIGO staging 2018. Eur Radiol 2021; 31: 7802-7816.
17.
Davnall F, Yip CSP, Ljungqvist G, Selmi M, Ng F, Sanghera B, et al. Assessment of tumor heterogeneity: an emerging imaging tool for clinical practice? Insights Imaging 2012; 3: 573-589.
18.
O’Connor JPB, Rose CJ, Waterton JC, Carano RAD, Parker GJM, Jackson A. Imaging intratumor heterogeneity: role in therapy response, resistance, and clinical outcome. Clin Cancer Res 2015; 21: 249-257.
19.
Ryu SY, Kim MH, Nam BH, Lee TS, Song ES, Park CY, et al. Intermediate-risk grouping of cervical cancer patients treated with radical hysterectomy: a Korean Gynecologic Oncology Group study. Br J Cancer 2014; 110: 278-285.
20.
Abu-Rustum NR, Yashar CM, Arend R, Barber E, Bradley K, Brooks R, et al. NCCN guidelines® insights: cervical cancer, version 1.2024. J Natl Compr Canc Netw 2023; 21: 1224-1233.
21.
Kuang F, Ren J, Zhong Q, Liyuan F, Huan Y, Chen Z. The value of apparent diffusion coefficient in the assessment of cervical cancer. Eur Radiol 2013; 23: 1050-1058.
22.
Mabuchi S, Okazawa M, Matsuo K, Kawano M, Suzuki O, Miyatake T, et al. Impact of histological subtype on survival of patients with surgically-treated stage IA2-IIB cervical cancer: adenocarcinoma versus squamous cell carcinoma. Gynecol Oncol 2012; 127: 114-120.
23.
Shibata K, Kajiyama H, Yamamoto E, Terauchi M, Ino K, Nomura S, et al. Effectiveness of preoperative concurrent chemoradiation therapy (CCRT) for locally advanced adenocarcinoma of cervix. Eur J Surg Oncol 2009; 35: 768-772.
24.
Lin Y, Li H, Chen Z, Ni P, Zhong Q, Huang H, Sandrasegaran K. Correlation of histogram analysis of apparent diffusion coefficient with uterine cervical pathologic finding. AJR Am J Roentgenol 2015; 204: 1125-1131.
25.
Chung JJ, Kim MJ, Cho NH, Park S, Lee JT, Yoo HS. T2-weighted fast spin-echo MR findings of adenocarcinoma of the uterine cervix: comparison with squamous cell carcinoma. Yonsei Med J 1999; 40: 226-231.
26.
Tsujikawa T, Rahman T, Yamamoto M, Yamada S, Tsuyoshi H, Kiyono Y, et al. 18F-FDG PET radiomics approaches: comparing and clustering features in cervical cancer. Ann Nucl Med 2017; 31: 678-685.
27.
Shen WC, Chen SW, Liang JA, Hsieh TC, Yen KY, Kao CH. [18]Fluorodeoxyglucose positron emission tomography for the textural features of cervical cancer associated with lymph node metastasis and histological type. Eur J Nucl Med Mol Imaging 2017; 44: 1721-1731.
28.
Downey K, Riches SF, Morgan VA, Giles SL, Attygalle AD, Ind TE, et al. Relationship between imaging biomarkers of stage I cervical cancer and poor-prognosis histologic features: quantitative histogram analysis of diffusion-weighted MR images. AJR Am J Roentgenol 2013; 200: 314–320.
29.
Kido A, Mikami Y, Koyama T, Kataoka M, Shitano F, Konishi I, Togashi K. Magnetic resonance appearance of gastric-type adenocarcinoma of the uterine cervix in comparison with that of usual-type endocervical adenocarcinoma: a pitfall of newly described unusual subtype of endocervical adenocarcinoma. Int J Gynecol Cancer 2014; 24: 1474-1479.
30.
Ando H, Miyamoto T, Kashima H, Takatsu A, Ishii K, Fujinaga Y, et al. Usefulness of a management protocol for patients with cervical multicystic lesions: a retrospective analysis of 94 cases and the significance of GNAS mutation. J Obstet Gynaecol Res 2016; 42: 1588-1598.
31.
Saida T, Sakata A, Tanaka YO, Ochi H, Ishiguro T, Sakai M, et al. Clinical and MRI characteristics of uterine cervical adenocarcinoma: its variants and mimics. Korean J Radiol 2019; 20: 364-377.
32.
Avanzo M, Stancanello J, El Naqa I. Beyond imaging: the promise of radiomics. Phys Med 2017; 38: 122-139.
33.
Wang W, Jiao Y, Zhang L. Multiparametric MRI-based radiomics analysis: differentiation of subtypes of cervical cancer in the early stage. Acta Radiol 2022; 63: 847-856.
34.
Wang S, Jiang T, Hu X, Hu H, Zhou X, Wei Y, et al. Can the combination of DWI and T2WI radiomics improve the diagnostic efficiency of cervical squamous cell carcinoma? Magn Reson Imaging 2022; 92: 197-202.
35.
Feng Q, Chen Y, Liao Z, Jiang H, Mao D, Wang M, et al. Corpus callosum radiomics-based classification model in Alzheimer’s disease: a case-control study. Front Neurol 2018; 9: 618. DOI: 10.3389/fneur.2018.00618.